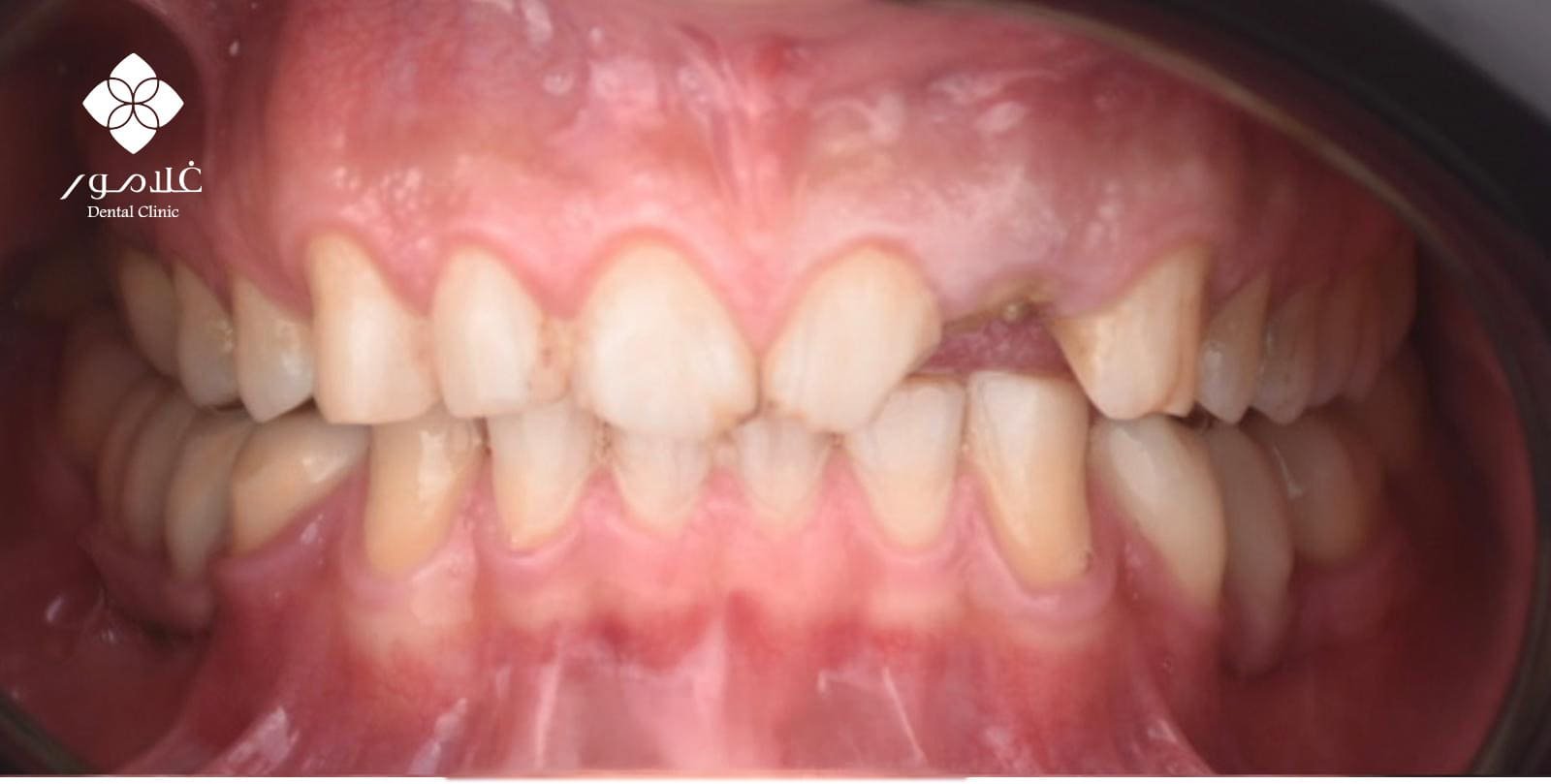
” تعد عيادة غلامور لطب الأسنان واحدة من أبرز العيادات المتخصصة والرائدة في مجال طب الأسنان، حيث تقدم مجموعة متكاملة من الخدمات العلاجية والتجميلية بأعلى معايير الجودة. تتميز العيادة بفريق طبي محترف يستخدم أحدث التقنيات والأجهزة الحديثة، لضمان راحة المريض وتقديم نتائج مميزة. نسعى في غلامور إلى توفير رعاية صحية متكاملة تمنح كل مراجع ابتسامة صحية وأكثر جمالًا.”
سجل بياناتك الأن






في عيادات غلامور ، نجمع بين الخبرة الطبية والتقنيات الحديثة لتقديم تجربة استثنائية في مجالات طب الاسنان.
عيادات غلامور ( علم .. خبرة .. كفاءة)